양말 냄새 맡는 행위가 건강을 망칠 수 있다.
최근 한 남성이 양말 냄새를 맡아 건강이 좋지 않게 됐다.
영국 일간 미러 보도에 따르면 중국 장저우에 거주 중인 익명의 남성 A씨는 폐에 심각한 진균 감염이 생겨 병원에 입원했다.
그는 매일 퇴근하고 집에 와 자신이 신었던 양말 냄새를 맡았다.
하지만 하루종일 신은 양말이 위생적으로 좋지 않을 수 밖에 없었다.
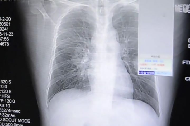
그러던 어느날 그는 극심한 가슴 통증을 느끼기 시작하다 결국 응급실에 실려가 치료를 받앗고 가슴 엑스레이 사진으로 그의 폐가 진균에 감염된 것을 확인할 수 있었다.
의료진은 그가 발 땀으로 인해 양말에 진균이 생겼으며 매일 양말 냄새를 맡은 행위로 인해 균이 폐 속으로 침입했다고 전했다.
양말을 하루종일 신고 있다보면 땀이 묻을 수밖에 없는데 이번 사례와 같이 양말에 진균이 발생할 가능성이 있기 때문에 아무리 냄새가 궁금해도 양말 냄새를 맡지 않는 것을 추천한다.3
한편 현재 A씨는 병원에 입원해 치료를 받고 있는 것으로 알려졌다.
[저작권자 VONVON/ 무단복사, 무단전재 및 재배포 금지 (위반 시 법적조치)]