코로나19 대비용 소독제와 살균제를 잘못 사용할 시 되려 인체에 해로울 수 있다는 경고가 나왔다.
지난 24일 경희대학교에 의하면, 경희대학교 동서의학연구소 소속 박은정 교수가 지난 14일 “코로나19 팬데믹(대유행)으로 사용이 급증한 살균 및 소독제에 대한 호흡기 노출이 폐 질환을 유발할 가능성이 있다”라는 내용의 연구 결과를 발표했다.
박 교수가 저술한 ‘라멜라 구조의 형성이 염화디데실디메틸암모늄(DDAC)으로 인한 독성 반응 개시인자일 것’이라는 제목의 논문이 ‘독성학 및 응용 약리학’ 온라인 판에 게시됐다.
이번 연구에서 박 교수는 “DDAC에 지속해서 노출된다면 체내 축적 및 폐질환 유도 가능성이 있으며, 이를 위한 추가 연구가 필요하다”라고 했다.
DDAC는 세균, 바이러스 등 미생물 확산 차단을 위해 사용되며, 미국 환경청에 등록된 암모늄 계열 살균제다.
특히 DDAC는 지난 2006년부터 발생한 가습기 살균제 사건의 주요 성분 중 하나이기도 하다.
이번 연구에서 인간기관지 상피 세포와 실험용 쥐로 폐 질환 유도 가능성과 독성 기전을 연구했다.
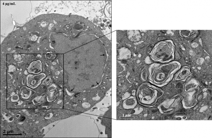
연구 결과 DDAC가 4μg/mL 농도에서 세포 생존율을 급격히 감소시켰으며, 세포 내 기관 손상과 세포 자살, 세포막 손상을 유도했다.
또한 기관지를 통해 500μg DDAC를 1회 투여당한 쥐는 투여 후 14일까지 정상적으로 생존했으나 2회 투여한 쥐는 만성 섬유성 폐 병변이 현저하게 관찰되었고, 궁극적으로 사망했다.
따라서 박 교수는 소독제를 사용할 때 ①공기 중에 뿌리지 말고,
②밀폐된 공간에서 사용할 것을 자제하고 (환기 상태에서 사용할 것),
③염소(CI)계열 소독제는 사용 후 반드시 환기하고,
④자주 물로 손과 입, 코 주변을 닦고 에탄올 성분 손 소독제 사용 후 절대로 얼굴을 만지지 말 것을 권고했다.
또한 ⑤ 여러 살균 및 소독제를 혼합해서 사용하지 말고 제품 설명서에 기록된 사용방법을 반드시 지켜야 한다고 했다.
또한 분무기로 뿌리는 경우 방역 효율이 낮고 인체에 유해할 수 있어 가급적이면 뿌리기보다는 사물을 닦아내는 방식으로 사용할 것을 권장했다.
[저작권자 VONVON/ 무단복사, 무단전재 및 재배포 금지 (위반 시 법적조치)]





