20일이 지나도 변을 보지 못해 심장 앞까지 변비가 꽉 찬 남성의 CT 사진이 올라와 보는 이들에게 엄청난 충격을 주고 있다.
최근 중국 의과대학 신주부속병원 페이스북 계정에 58세 남성 A씨가 20일 넘게 변을 보지 못해 이 병원 응급실로 실려갔다.
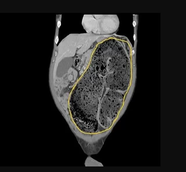
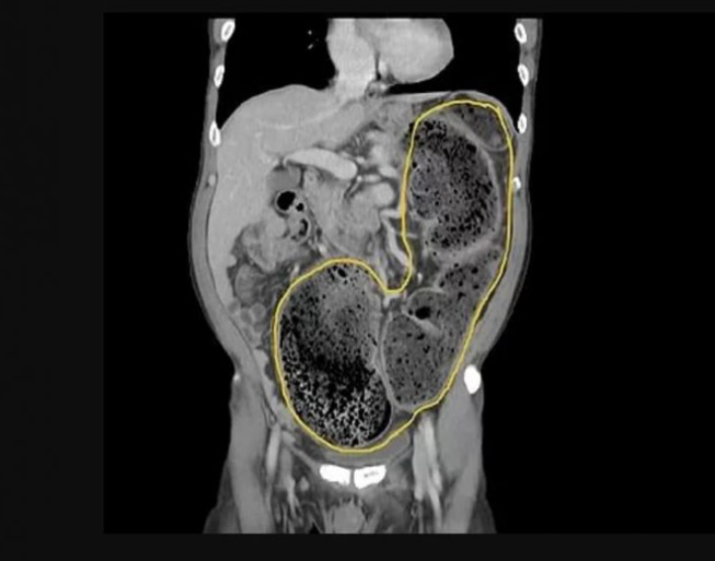
대장직장외과 전문의인 장주헝 박사가 이 남성을 진찰한 결과 장에는 배출하지 못한 변들이 모여 딱딱하게 굳어 장폐색이 온 상태라고 전했다.
특히 장 끝부분 S상 결장에 변이 계속해서 차올라 거의 심장까지 올라가 있어 모든 의료진들이 놀라움과 충격을 받았다.
더욱 더 놀라운 것은 장에 꽉 찬 변의 무게만 5kg가 넘었다.
장 박사는 자신의 손가락으로 직접 그의 장에 있는 변을 모두 긁어내야 했다고 그때의 상황을 전했다.
다행히 수술을 잘 끝낸 A씨는 건강을 회복한 것으로 알려졌다.
장 박사는 “변비를 예방하기 위해서는 섬유질이 많은 음식을 섭취하고 균형 잡힌 식단을 유지해야 한다”라 보는 이들에게 당부했다.
변비를 쉬운 질병으로 생각하는 사람들도 많지만 겪어 보지 않고는 알 수 없는 고통 중 하나가 바로 변비다.
변비가 가장 위험한 이유는 대변을 제때 배출하지 못했을 때 생기는 심각한 건강 이상이다.
체내에 배설물이 축적되면 만성 장염을 겪거나 고열이 발생하며, 심한 경우 목숨을 잃을 수도 있다.
[저작권자 NEWSNACK/ 무단복사, 무단전재 및 재배포 금지 (위반 시 법적조치)]